Fabrication of Models of the Teeth

Our Price$50.00 $100.00 Regular Price
Program
:
Self-Paced
|
College
:
dentalmlp
|
Credits
:
3 CE Credits
|
Faculty
:
Akshaj Krishna
|
Days of Access
:
30 days
|
Course Description
 

This bundle contains one Course

30.31 Quick Study Models Fabrication

 Presentation: 26 minutes Run Time, Knowledge Quiz: 10 Questions, 2 CE Credits

Contents of the Quick Study Models Course

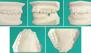
Plaster study models illustrating the maximum intercuspation of the teeth of a patient have been an essential diagnostic tool for orthodontists for decades. In this time of transition from trimmed hand-held plaster models to intraoral scans of the teeth and digital models, it is essential that dental practitioners know how to fabricate quick plaster models to evaluate the occlusion when the patient is not present. These properly trimmed models should show the habitual occlusion of the patient. They should also be trimmed relative to the stable midpalatal raphe as a reference line to evaluate dental symmetry in each arch.

This course was put together quickly when it was evident that dental students did not know how to pour and trim quick study models so that they would be diagnostic for occlusion. This course should be redone, but until then, it is the only course available online.

Goalto train the student to fabricate quick plaster study models from alginate impressions that are diagnostic of occlusal relationships and dental symmetry.

Objectives: At the completion of this course, the student will be able to:

  1. Pour alginate impressions using orthodontic plaster.

  2. Lay the set arch dentition models on poured preformed bases

  3. Trim the poured plaster models so that they will occlude together when placed on their backs on a flat surface reflecting the true occlusion of the patient and trimmed to diagnose dental symmetry.

Who should take this course?

Every dental practitioner who provides orthodontic treatment to patients should know how to recognize if digital or hand-held study models are accurate to diagnose dental symmetry and occlusal relationships. The practice team should be able to produce quick study models if needed. This is especially important if the dental practitioner is editing digital software that is used to fabricate aligners. If the occlusion is not properly set up in the digital aligner software, the final desired result will not be achieved.

All dentists, orthodontists, residents, and dental students should know how to fabricate quick study models in plaster as described in this course.